Torna
alla pagina
iniziale
 
Caso 1
Caso 2
Caso 3
Caso 4
Caso 5
Caso 6
Caso 7
Caso 8
Caso 9
Caso 10
Caso 11
Caso 12
Caso 13
Caso 14
Caso 15
Caso 16
Caso 17
Caso 18
Caso 19
Caso 20
Caso 21
Caso 22

scrivi mail

 

       
Alcuni esempi di impianti eseguiti sui nostri pazienti
       
 
 

Caso 22
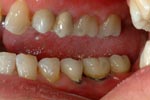
Impianti in sede inferiore destra in paziente con grave mancanza di osso
Sequenza fotografica (clicca sulle foto per ingrandire)

 

 
 
 
CASO INIZIALE
Radiografia panoramica
 
CASO FINALE
Radiografia panoramica

posizionamento 2 impianti in sede inefriore destra

Caso finito

Caso finito

 
   
 
 

scrivi mail