Torna
alla pagina
iniziale
 
Caso 1
Caso 2
Caso 3
Caso 4
Caso 5
Caso 6
Caso 7
Caso 8
Caso 9
Caso 10
Caso 11
Caso 12
Caso 13
Caso 14
Caso 15
Caso 16
Caso 17
Caso 18
Caso 19
Caso 20
Caso 21
Caso 22

scrivi mail

 

       
Alcuni esempi di impianti eseguiti sui nostri pazienti
       
 
 

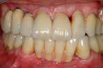
Caso 16
Riabilitazione superiore su impianti con protesi parzialmente rimovibili ed inferiore su impianti fissa
Sequenza fotografica (clicca sulle foto per ingrandire)

 

 
 
 

Caso iniziale

Caso finito

 

Il sorriso del paziente

 
 
   
 
 

scrivi mail